Attacchi Ortodontici in Zaffiro
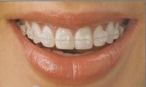
Vorrei presentare quella che non è una vera novità, ma una tecnica di ortodonzia estetica che è diventata ormai molto sicura e sperimentata e merita di essere diffusa di più. Oggi infatti c'è una richiesta, anche da parte di adolescenti, oltre che dagli adulti, di un apparecchio che sia esteticamente più accettabile dei classici bottoncini di metallo. Esistono dei bellissimi attacchi ortodontici (le "stelline" che vanno incollate sui denti per effettuare trattamento ortodontico fisso) in porcellana o zaffiro minerale che sono trasparenti e quasi invisibili. Non si può dire che siano del tutto invisibili, ma lo sono molto molto meno di quelli di metallo. Costano un po' di più, ma non è un.. dramma! Rispetto ad altre tecniche di ortodonzia estetica, permettono di eseguire trattamenti completi senza limiti clinici. Infatti, volendo fare un po' di comparazioni, gli attacchi in fibra o composito, tendono a rompersi e ad ingiallire, e questo è un vero problema. Questi no. E la ortodonzia linguale (quella che si effettua montando gli attacchi dietro ai denti, internamente alla bocca) è molto fastidiosa per il paziente e può essere usata solo in un limitato numero di casi, solo per leggere correzioni, non per lavori completi. E l'ortodonzia con le mascherine mobili, oltre che complicata e costosa, richiede un elevato livello di collaborazione da parte del paziente (se queste mascherine non vengono portate per un numero adeguato di ore al giorno, i denti rimangono.. come stanno!) e numerose visite e modifiche frequentissime. Questa degli attacchi in zaffiro è la tecnica che permette lavori biologicamente validissimi e come estetica è un buon compromesso, non veramente invisibile, ma.. quasi!! Mascherine Invisibili
IndicazioniChiusure di piccoli spazi tra i denti (massimo 6 mm nell’arcata) Risoluzioni di minimi affollamenti (massimo 6 mm nell’arcata) Piccole derotazioni (15-20°) Intrusioni (movimenti dei denti verso le gengive) di 2 mm per gli incisivi e 1 mm per i molari. Altri movimenti complessi (torque e tipping) saranno possibili solo in forma limitata. IndispensabileE’ la presenza in arcata dei settimi (secondi molari) Non programmare estrazioni (per la risoluzione di affollamenti) La presenza in arcata dei 6° e 7°. Controindicazioni
|
|

