Il Trattamento endodontico (letteralmente dentro il dente) consiste nell'asportazione della polpa del dente ricca di vasi sanguigni e di terminazioni nervose.
Quando un dente è danneggiato da carie profonda, ha subito un trauma (un pugno, una caduta, un incidente stradale o sportivo, ecc.) è necessario eseguire "la devitalizzazione"; accertandosi prima (in caso di traumi) che le radici non abbiano subito fratture.
Le fasi per devitalizzare un dente sono le seguenti:
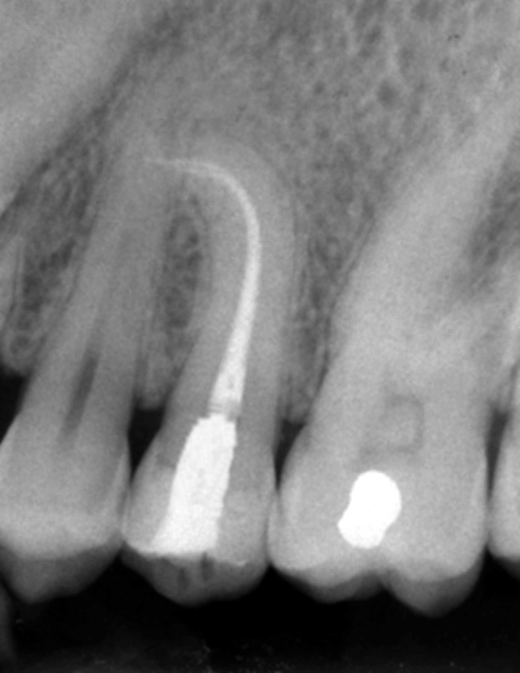
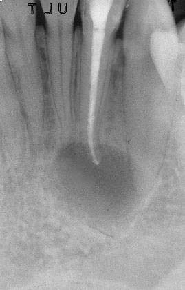
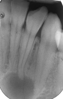
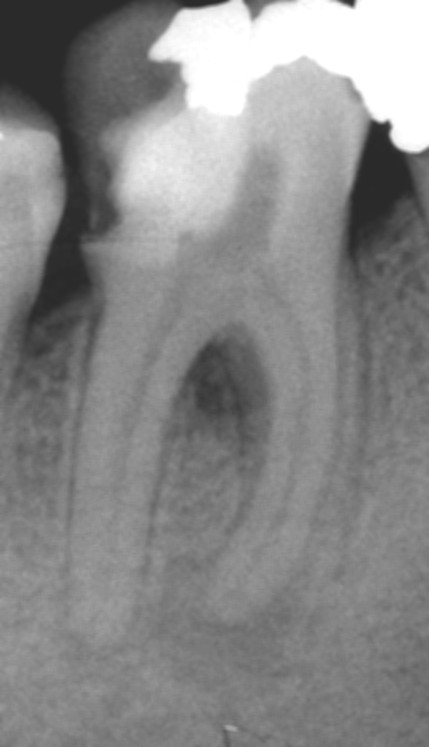
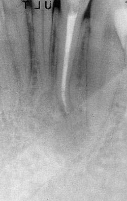
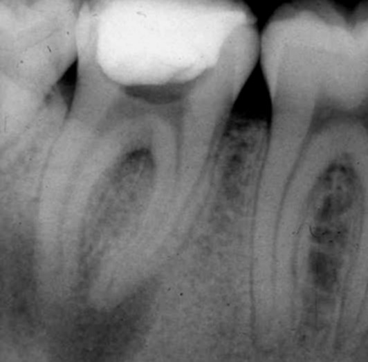
Apertura della corona fino ad arrivare alla camera pulpare (tale trattamento viene eseguito tramite anestesia locale). Si rimuove la polpa e si cercano i canali radicolari del dente, una volta trovati si estirpano i nervi. Si allargano e si puliscono i canali del dente, (tramite strumenti al Nichel titanio o strumenti manuali) prendendo anticipatamente le misure dei canali (per non uscire oltre apice). Si disinfettano i canali e si eseguono vari lavaggi tra un passaggio e un altro per elimininare il fango dentinale. Il medico a questo punto verifica la possibilità di chiudere definivamente i canali o lasciare il dente in prova, inserirendo nei canali un disinfettante e eseguendo una chiusura provvisoria. Al momento di chiudere il dente definivamente, questo viene preparato rieseguendo le misure dei canali da chiudere ed usando per la stessa lunghezza del canale, un cono di guttaperga del diametro necessario. Si scalda il cono in guttaperga e si inserisce nel canale. Durante il trattamento endodondico vengono effettuati una serie di esami radiografici per verificare i risultati, le lunghezze, la forma dei canali.
L'esame radiografico, fondamentale per porre diagnosi in odontoiatria, in endodonzia è irrinunciabile perché è l'unico strumento che ci permette di "vedere" all'interno della radice del dente, è quindi molto importante la possibilità di effettuare lastre con apparecchiature digitali che emettono un quarto della dose di raggi emessa da un radiografico tradizionale e che permettono di conservare la radiografia endorale in una cartella informatica del paziente senza possibili alterazioni nel tempo.
Una volta chiusi i canali, il trattamento endodondico è finito, si passa quindi alla seconda parte (conservativa) che serve a ricostruire la corona del dente o a secondo dei casi è opportuno proteggere il dente (divenuto fragile) con una capsula prefabbricata (protesi fissa). Tra una seduta e un'altra è possibile avere sensibilità al dente trattato o gonfiore, la sensibilità potrebbe durare anche per qualche tempo a prestazione terminata, se il fastidio continua persistere a lungo, potrebbe essere necessario rivalutare il dente.
Il trattamento endodondico ha una buona percentuale di successo, ma vi sono casi in cui il dente trattato endodondicamente debba essere ritrattato e in alcuni casi estratto.


